Zahnerhalt – das Ziel einer Behandlung
Der natürliche Zahn ist durch nichts zu ersetzen.
Deshalb steht in der Zahnarztpraxis Dr. M. Kleineidam der Zahnerhalt immer im Mittelpunkt – mit präziser Diagnostik, klaren Abläufen und Behandlungen, die langfristig schützen.
Ziel ist es, Entzündungen früh zu erkennen, die Zahnsubstanz zu bewahren und Eingriffe so minimalinvasiv wie möglich zu gestalten. Dabei kommen digitale Röntgentechnik und moderne Verfahren zum Einsatz.

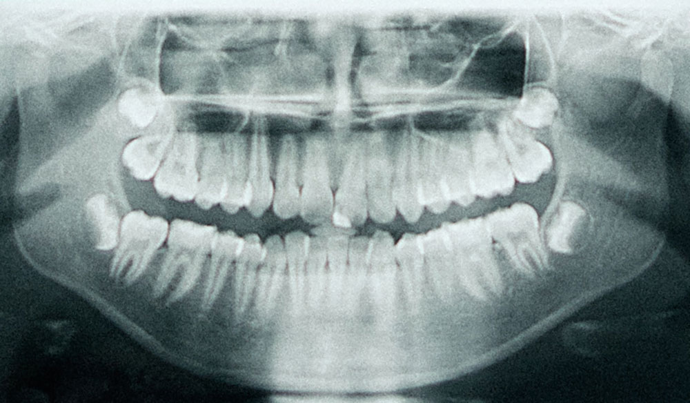
Röntgendiagnostik – präzise und verantwortungsvoll
Um Erkrankungen im Inneren des Zahns oder Kieferknochens sicher zu erkennen, ist die radiologische Diagnostik ein unverzichtbarer Bestandteil. Da viele Patient:innen gegenüber Röntgenstrahlung sensibel sind, wird in der Praxis nach dem ALARA-Prinzip gearbeitet – as low as reasonably achievable.
Das bedeutet: Die Aufnahme erfolgt mit der geringstmöglichen Strahlendosis bei gleichzeitig bester Abbildungsqualität. Zudem werden Strahlenschutzmaßnahmen wie Röntgenschürze, Schild, Einblendung und modernste Röntgengeräte verwendet. Vor jeder Röntgendiagnostik besprechen wir die Thematik mit Ihnen und wägen die Vor- und Nachteile ab, ob eine Aufnahme zwingend erforderlich ist.

Füllungstherapie
Auch wenn die Zahl der Kariesfälle in den letzten Jahren deutlich gesunken ist, bleibt sie weltweit die häufigste Zahnerkrankung. Geht Zahnhartsubstanz verloren, kann sie mit modernen Füllungsmaterialien präzise wiederhergestellt werden.
In der Zahnarztpraxis Dr. Kleineidam gilt das Prinzip der Minimalinvasivität – so viel wie nötig, so wenig wie möglich.
Unter Vergrößerung (Lupenbrille) und mit Hilfe eines Kofferdams, der das Arbeitsfeld trocken hält und schützt, wird der Defekt gezielt behandelt, ohne unnötig gesunde Zahnsubstanz zu entfernen.
Zum Einsatz kommen hochwertige Komposite, also Verbundwerkstoffe aus keramischen Füllkörpern in einer Kunststoffmatrix.
Sie sind ästhetisch anpassbar, haltbar und wissenschaftlich bestens erforscht – eine verlässliche Grundlage für langlebigen Zahnerhalt.




Wurzelkanalbehandlung
Eine Wurzelkanalbehandlung beschreibt eine Erkrankung aus dem Zahninneren. In der Mitte des Zahnes befindet sich quasi das „Herz“ des Zahnes während der Zahnentwicklung, die sogenannte Pulpa. Der vollausgebildete Zahn kann jedoch ohne die Pulpa „überleben“, da er über das Knochengewebe versorgt wird. Wenn die Pulpa entzündet oder abgestorben ist, besiedeln Bakterien die Hohlräume und können zu einer Entzündung an der Wurzelspitze führen, die im Röntgenbild sichtbar ist.
Im Rahmen einer Wurzelkanalbehandlung werden die Hohlräume im Zahninneren von den Bakterien gesäubert, damit sich der Körper selbst heilen kann. Die Behandlung erfolgt in 2-3 Sitzungen. Abschließend wird der Hohlraum gefüllt und der Behandlungserfolg mit einer radiologischen Kontrolle in derselben Sitzung überprüft.
Durch den zumeist hohen Verlust an Zahnhartsubstanz empfehlen wir bei Zähnen unter starker Belastung oder mit geringer Restzahnhartsubstanz Folgetherapien mittels Teilkrone oder Krone. Gerne beraten wir Sie dazu.
Wichtige Infos zum
Zahnerhalt
Wie lange hält eine Füllung?
Das hängt von der Größe des Defekts, der Zahnpflege und der Belastung ab. Hochwertige Komposite können bei guter Pflege viele Jahre stabil bleiben – vor allem, wenn die Zahnzwischenräume regelmäßig gereinigt und Kontrolltermine eingehalten werden.
Wie sicher ist das Röntgen in der Zahnarztpraxis?
In der Zahnarzpraxis Dr. Kleineidam arbeiten wir nach dem ALARA-Prinzip – also mit so wenig Strahlung wie möglich bei gleichzeitig bester Bildqualität. Digitale Technik und gezielter Strahlenschutz machen die Aufnahmen sehr sicher und präzise.
Wann ist eine Wurzelkanalbehandlung wirklich nötig?
Wenn das Zahninnere (die Pulpa) entzündet ist oder starke Schmerzen verursacht, kann nur eine Wurzelbehandlung den Zahn erhalten. Dabei wird das entzündete Gewebe entfernt, die Kanäle gereinigt und bakteriendicht verschlossen – so bleibt der Zahn langfristig funktionsfähig.
Was passiert, wenn eine Wurzelkanalbehandlung nicht hilft?
In manchen Fällen kann die Entzündung erneut auftreten. Dann besteht die Möglichkeit einer sogenannten Revisionsbehandlung oder, wenn nötig, einer Wurzelspitzenresektion. Beide Verfahren zielen darauf ab, den Zahn weiterhin zu erhalten.
Kann man jeden Zahn retten?
Nicht immer – aber oft. Ziel ist es, den eigenen Zahn so lange wie möglich zu bewahren. Ob das möglich ist, hängt vom individuellen Befund ab. Wir prüfen sorgfältig, ob Zahnerhalt realistisch und sinnvoll ist, bevor wir eine Entscheidung treffen.
Wissen aus der Praxis


